失った歯、欠けた歯も美しく。審美歯科医療の現在地。
審美歯科の治療法は日々進化を遂げている。だが、一般的にはなかなか知られていないのも事実。失った歯、欠けた歯、悪い歯並びもきれいにできる最新施術例を紹介する。※歯の状態がわかる写真を掲載しています
取材・文/石飛カノ イラストレーション/浦野周平 監修・取材協力・資料提供/平井友成(日本審美歯科協会会長) 編集/CAPSTAR
初出『Tarzan』No.913・2025年10月23日発売

教えてくれた人
平井友成(ひらい・ともなり)/日本審美歯科協会会長。九州大学歯学部臨床教授、水上歯科クリニック副院長を経て、平井歯科クリニックを開設。院長として歯周病治療などに携わる傍ら、インプラント専門医としても研鑽を積み、患者に最適な処置を提案している。
美しさと機能を兼ね備えた、総合的治療の最新例を知ろう。※口腔内写真あり
口の中の不具合のメインの施術はむし歯や歯周病治療。でも歯の医療範囲はそれだけではなく、審美歯科という領域がある。日本人にはあまり馴染みのない世界、一体どんな施術が受けられるのか?
「審美歯科は、見た目をきれいにするというのと同時に機能を高めて口元の健康を作っていく総合的な歯科治療のことを指します。そういう意味では前項のホワイトニングも歯列矯正も審美治療の領域。それに加えて、個人の目的に合わせさまざまな施術を提示し、年齢に合った健康美を実現するのが審美歯科の目指すところです」(日本審美歯科協会会長・平井友成さん)
審美歯科の治療はほとんどが保険の利かない自由診療。メディカルの世界ではまだまだ自由診療は玉石混淆状態だが、歯科に関しては比較的自由診療の信頼性が保証されている。
あくまでお財布と相談だが、自分の口元をこれからどうしていきたいかを明確にしたうえで、試してみる価値はある。何はともあれ、施術例をご覧あれ。
※※以下より歯の状態がわかる写真を掲載しています。
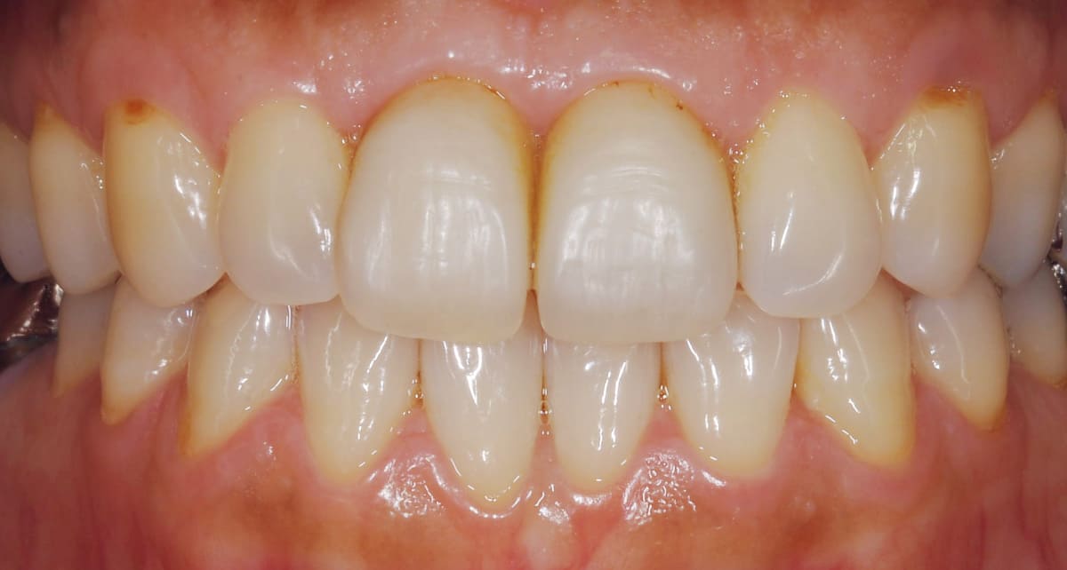
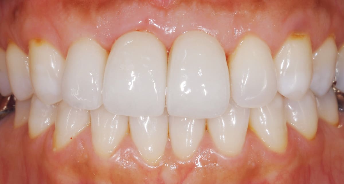
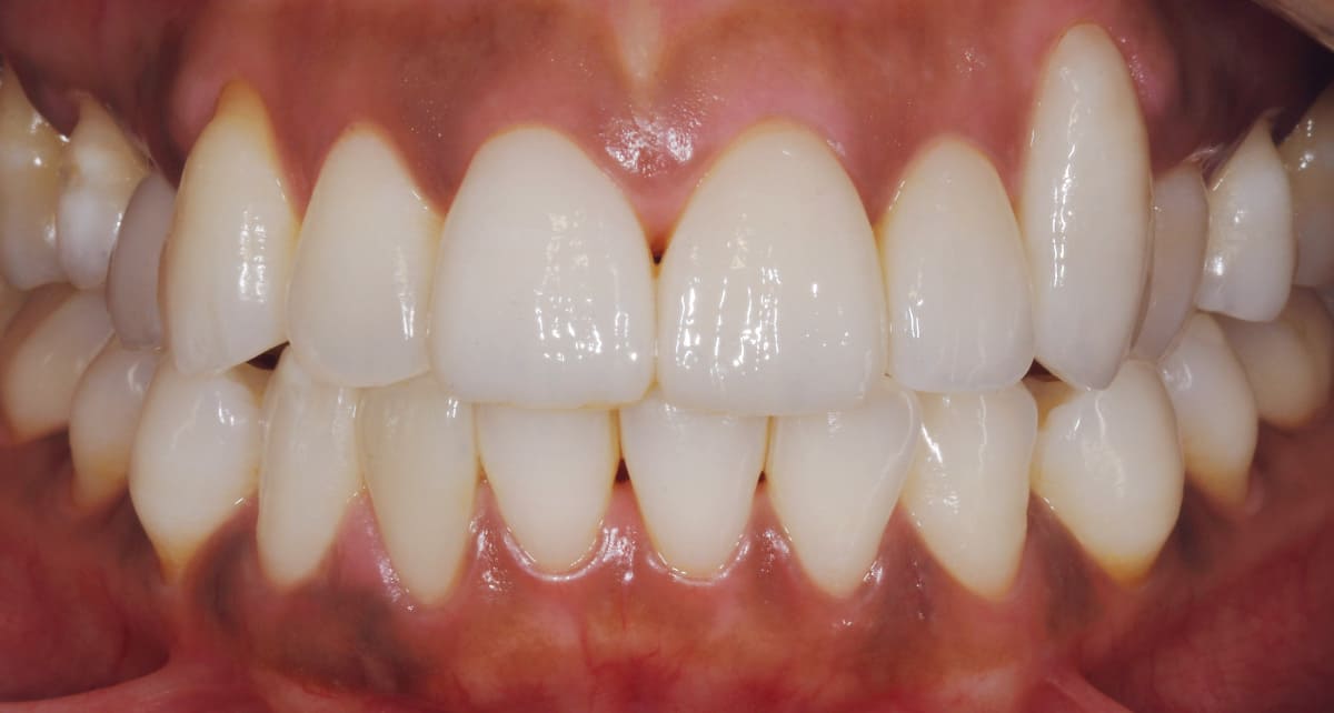
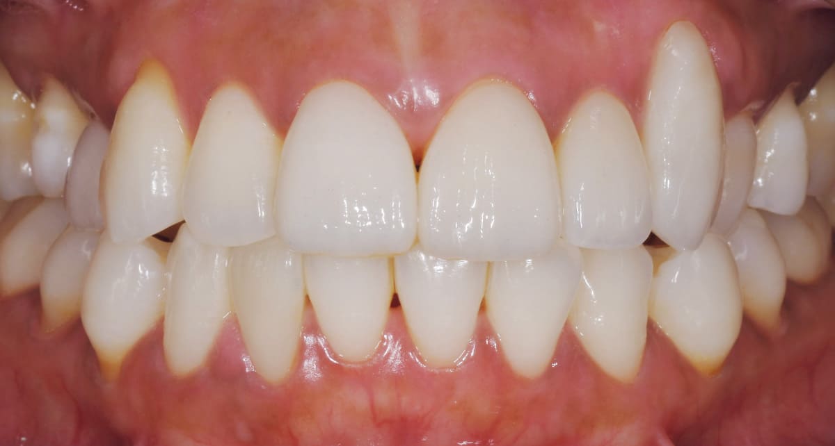
ジルコニア|ダイヤモンド並みに硬くカラダへの馴染みがいい。

Before

After
セラミックの一種のジルコニアで作った被せ物(クラウン)を使った治療。ジルコニアは人工ダイヤモンドと呼ばれるほどの硬度があるので奥歯にも適していてカラダには馴染みがいい素材。ただし透明感はセラミックより出しにくい。
【料金】10万円〜
【治療期間】1週間〜3週間程度
(特別な機材がある病院ではワンデイ治療が可能)
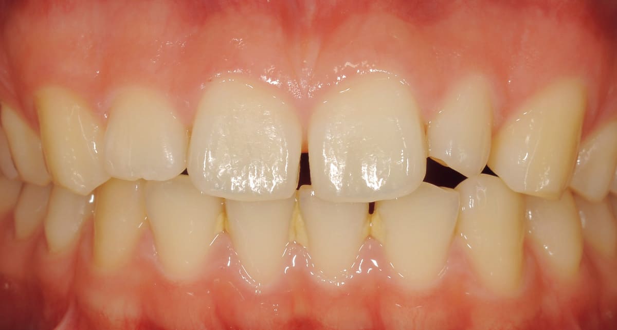
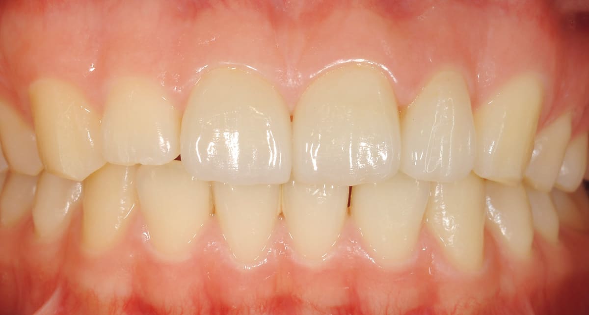
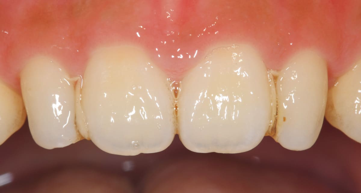
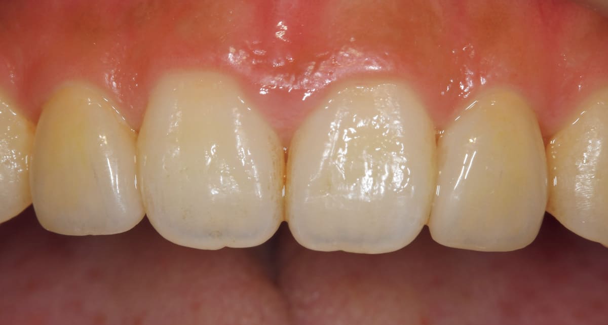
セラミック|費用はかかるが仕上がりの良さは抜群。

Before

After
よりきれいな仕上がりを目指すのであれば、やはりセラミックがファーストチョイス。透明感があり、自然歯と変わらない白さが望めるからだ。ジルコニアよりコストがかかるので、前歯はセラミック、奥歯はジルコニアという選択も。
【料金】15万円〜
【治療期間】1週間〜3週間程度
(特別な機材がある病院ではワンデイ治療が可能)
再生治療|失われた歯周組織を健康な状態に近づける。

Before

After
歯周病などでダメージを受けた歯周組織を再生させる治療。薬剤を使用して歯周組織の再生を促す方法や外科的治療を行うなど、さまざまな方法がある。歯ぐきを引き上げたり歯槽骨を再生させたりと歯の機能の改善にも役立つ。
【料金】15万円〜
【治療期間】3か月〜1年程度
根面被覆|歯の根元の欠損部に自らの歯ぐきを移植。

Before

After
歯ぐきが下がって歯の根元が露出してしまった状態を改善する治療。最も多く行われているのは歯ぐきの移植。上顎の歯ぐきは切除しても再生するのでこの部分を患部に移植する。見た目はもちろん知覚過敏の改善にもつながる。
【料金】15万円〜
【治療期間】3か月〜6か月程度
メラニン除去|薬剤やレーザーで黒い歯ぐきをピンク色に。

Before

After
黒ずんだ歯ぐきのメラニン色素を除去してピンク色の歯ぐきに近づける。メラニン除去は審美歯科では「ガムピーリング」と呼ばれる。薬剤を塗る、あるいはレーザーを照射するという方法がある。ただ、喫煙習慣があるとすぐ元の状態に。
【料金】5万円〜
【治療期間】2週間〜3か月程度
ラミネートベニア|イメージはネイルチップ。前歯のトラブルを改善。

Before

After
歯の表面のエナメル質を薄く削り、薄い板状のセラミックを直接貼り付ける治療法。歯の色や形、すきっ歯などの改善に対応する。いわゆる付け爪のイメージで治療は短期間、歯への負担も少ない。前歯の処置に用いられることが多い。
【料金】10万円〜
【治療期間】1週間〜3週間程度
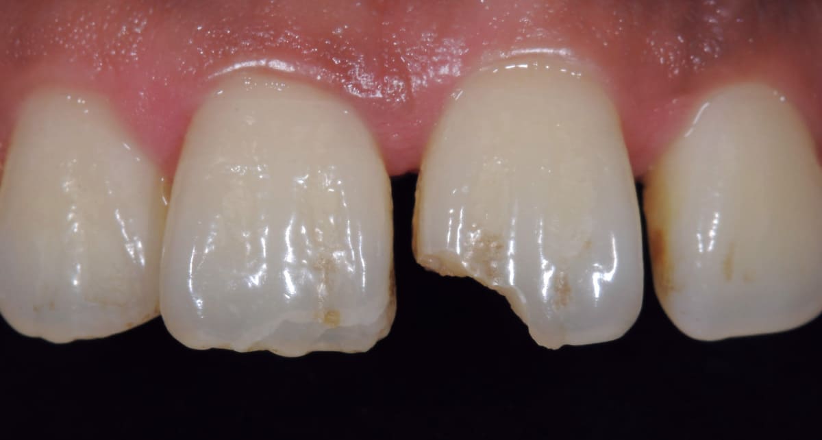
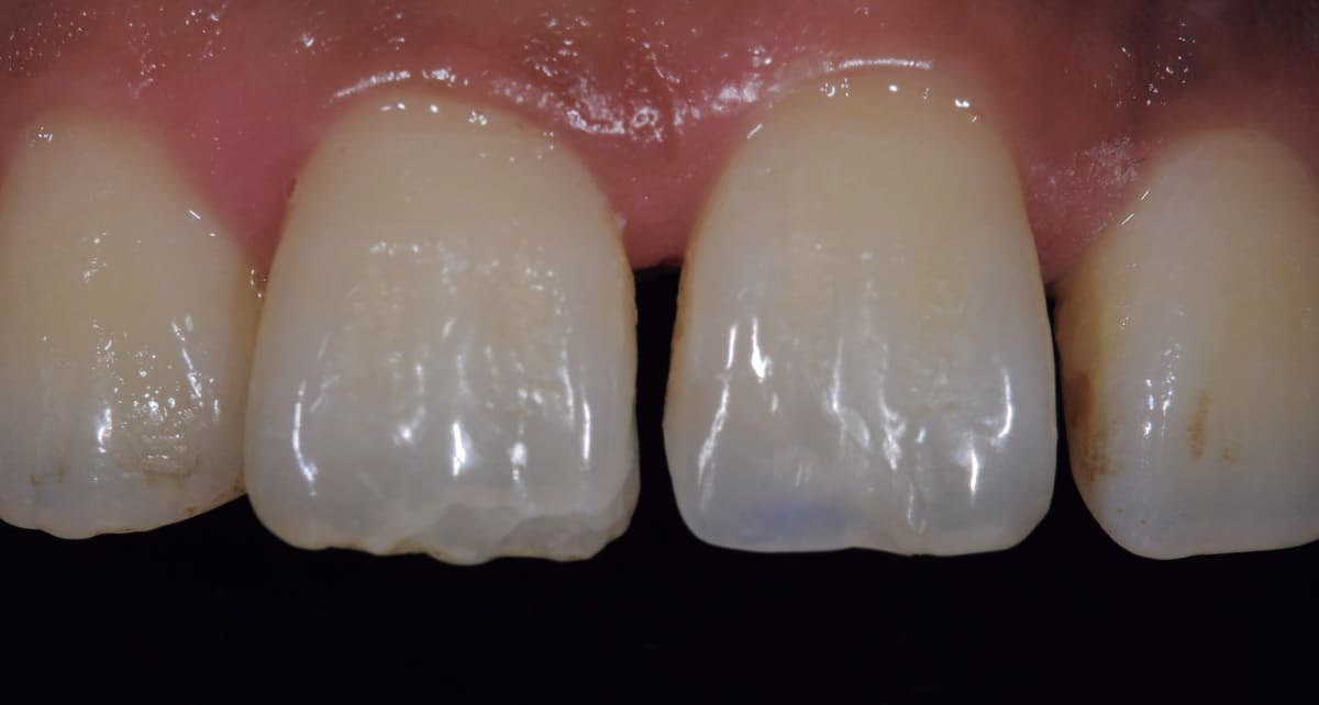
ダイレクトボンディング|ペースト状の材料を歯に盛り付けるだけ。

Before

After
むし歯や前歯の隙間、欠けた歯を修復する治療。セラミックとプラスチックの混合物であるレジンというペースト状の材料を直接歯に盛り付ける。クラウンのように型取りする必要もないので短期間で済み、歯を削る範囲も最小限。
【料金】3万円〜
【治療期間】1日〜2週間程度
※料金、治療期間は、1〜2本程度の目安。都市部と地方でも異なる。


