臓器の配置が左右非対称なのはなぜ?誰かに話したくなるカラダの話。
そもそもが左右対称ではない我々のカラダの中身。その神秘的ともいえる非対称性のメカニズムについて、医学と科学の最前線から話を聞いてみよう。
取材・文/オカモトノブコ イラストレーション/世戸ヒロアキ 写真/Shutterstock
初出『Tarzan』No.910・2025年9月11日発売

教えてくれた人
白鳥秀卓(しらとり・ひでたか)/京都産業大学 先端生命科学科教授。大阪大学生命機能研究科准教授を経て2016年より現職。専門は「発生生物学」で、内臓器官が左右非対称にできる仕組みや、哺乳動物の胚発生と老化機構について研究する。
花房雄治(はなふさ・ゆうじ)/下田循環器・腎臓クリニック院長。国立循環器病研究センター医員、神戸大学医学部附属病院呼吸循環器外科助教、総合病院の心臓血管外科部長などを経て現職。これまで5例におよぶ「内臓逆位」の症例に遭遇。
機能を発揮しつつ収納はコンパクトに。臓器が左右非対称な理由。

心臓がドキドキするとき以外、普段は意識することのない臓器の配置が左右非対称なのは、一体どんな理由があるのだろう?
「例えば肺が左側だけ小さいのは、心臓が同じ左側を占めているため。逆に左右対称なのは胸腺や生殖器など、上下の端にある臓器に限られます。つまり動物の進化において臓器のつくりが複雑化するなか、一定のスペースに多くの器官の収納と機能の両面を最適化するため、必要に応じて非対称な形になる必要があったと考えられるのです」
さらに腸は左右非対称な臓器の筆頭だが、「生後すぐはほぼ同じ形をしたマウスの大腸も成長とともにねじれが生じ、個体差が出てきます」と白鳥さん。
実は我々ヒトの場合も、胎児の成長とともに腸がねじれるプロセスが生じるという。医師の花房雄治さんは次のように話す。
「長い腸管をお腹に収めるため、胎児期に腸が270度回転して固定されます。この過程に異常が起きる病気が“腸回転異常症”で、治療には生後の早い段階で手術が必要とされます」
臓器が左右非対称なのは決して偶然じゃなく、生命誕生のメカニズムにも深く関わるのだ。
殻が逆巻きで交尾できない!カタツムリ・ジェレミーの孤独。

椎動物に限らず、臓器の左右非対称性は多くの動物に共通して見られます」と話す白鳥さん。 軟体動物のカタツムリも同じくだが、殻の巻き方でカラダのつくりが外側から判別できるため、巻き貝とともに古くから非対称性の研究対象とされてきた。
さかのぼること10年ほど前、イギリスで発見された一匹のカタツムリが世界の話題をさらった。彼の名はジェレミー。通常は右巻きの殻が、100万匹に1匹という確率で左巻きになった超レアなカタツムリだ。
彼の問題は左右逆転したカラダのために生殖口の位置が通常の個体と合わず、交尾できないこと。
「カラダの左右を決める遺伝子にはいくつも種類があり、ジェレミーのような突然変異体はどの種でも一定数は生まれます」と白鳥さん。
そこで当時の研究者が左巻きを決定づける遺伝子を解明すべく、同じ左巻きの個体を探して繫殖を試みようと、ジェレミーの恋人を探す一大キャンペーンを展開。
これが大きな話題となり、紆余曲折を経てマッチングに成功したジェレミー。左右非対称化に関わる遺伝子の研究史に大きな足跡を残したのである。
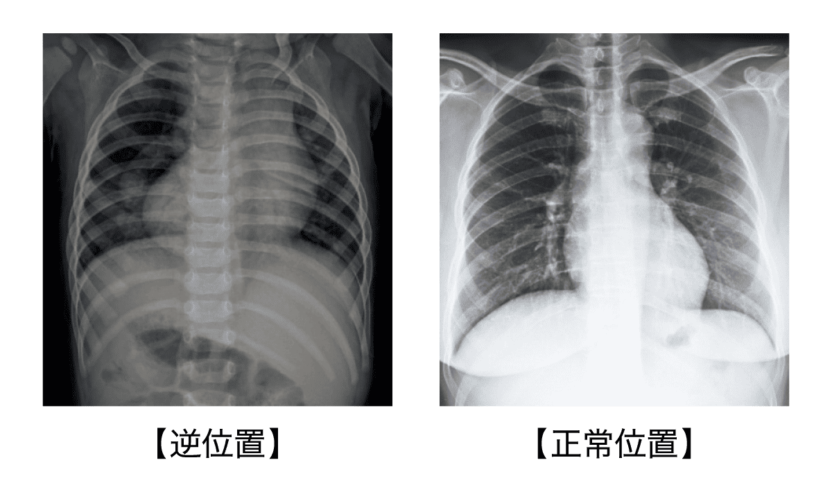
臓器の配置が真逆に。「内臓逆位」に気が付かない人も!?
左右非対称な臓器の配置が真逆になる「内臓逆位」。諸説あるが4000~2万人に1人とされ、「すべての臓器が逆転する“完全逆位”では、健康上の問題はほぼありません。ただし、うち10~25%で繊毛の機能不全を原因とした慢性副鼻腔炎や気管支拡張症を伴う“カルタゲナー症候群”を合併するという報告があります」と花房さん。
一部の臓器だけが逆転する“部分逆位”では、臓器そのものの先天的な疾患を伴う場合も。
「心臓が両側とも右側の形になる“右側相同”は、本来は左側にある脾臓がありません。逆に両側が左側の形になる“左側相同”では複数の脾臓が見られる多脾症候群を合併しやすく、いずれも難病に指定されています」

緊急手術で開腹したら逆位だった!

あの名作漫画『ブラック・ジャック』には、内臓逆位の緊急手術を行うエピソードがある。全ての臓器が左右真逆なことに苦戦するが、助手のピノコが開腹部を鏡に映す機転により手術に成功したというオチだ。
そして心臓血管外科を専門とする花房さんも、研修医時代に内臓逆位の手術を経験したひとり。しかもX線の写真がまだフィルムだった当時、担当の執刀医が表裏を取り違えて、開腹後に逆位が判明したのだという。
「腹部大動脈瘤破裂の緊急手術でしたが、普段と異なる血管の配置のなかでも何とか遮断すべき大動脈を見つけ、手術は成功しました。内臓逆位のケースでは術前の画像確認や手術の手順についてもより慎重に検討する必要があり、専門医による術例の論文も多く発表されています」
漫画やドラマに多数。実在ではあの人も。
「内臓逆位はドラマチックな展開になりやすく、実在数のわりにフィクションで非常に多く扱われる題材だと思います」と花房さん。
医療モノでは前述の『ブラック・ジャック』ほか多数に、『ゴルゴ13』や『金田一少年の事件簿』でも犯人に内臓逆位の人物が登場する。懐かしのドラマ『太陽にほえろ!』では左胸を銃撃されるも、内臓逆位で一命を取りとめた刑事のエピソードが。
実在の人物で有名なのは、ダイエー創業者の中内㓛さん。軍隊の身体検査で心臓が右と判明したという。俳優のキャサリン・オハラさん、人気歌手のエンリケ・イグレシアスさんも内臓逆位を公表。
さらにお笑い芸人のチャンス大城さん、山本ズバーンさんも、テレビなどで内臓逆位である自身の体験を語っている。


